时间:2023-10-26 分类: 试管资讯 查看: 120
超雌综合症与歌舞伎综合征,它们两都属于长得漂亮的综合征,甚至于网友戏称超雌综合症为“当代芭比娃娃”,但是这两种病症既然归为疾病类,那么,相对的特征和影响也是较多的,一旦发现一定要及时的就诊,或者是提前预防,才能有效地避免疾病的发生。

超雌综合征与歌舞伎面谱综合征都是由于发育异常导致的疾病,超雌综合征属于性染色体异常导致的,而歌舞伎面谱综合征病因尚且不明,主要的表现为发育不良、容貌特殊、骨骼发育障碍,智力低下等一系列症状。
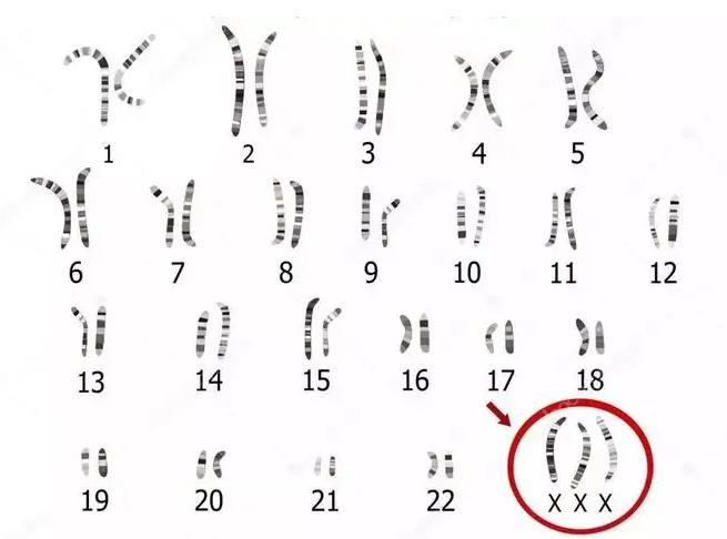
超雌综合征
作为染色体异常导致的疾病,主要病因是体内有三条或者三条以上的X染色体,而正常情况下的女性只有两条,患者是女性,有正常月经和生育功能,但智力较为低下,其他无异常。
歌舞伎面谱综合征
歌舞伎面谱综合征也是我们常说的Kabuki化妆综合征、abuki综合征(KS)、Niikawa—Kuroki合征、歌舞伎面谱综合征的主要表现是身体发育不良,智力低下等症状,患者男女都有。
超雌综合征患者与歌舞伎面谱综合征都是属于长得漂亮的罕见病,患者之间的共同点是都智力低下,发育较为迟缓等,目前都无较好的治疗方法。
造成原因
造成歌舞伎综合征与超雌综合征患的因素种类较多,但是主要还是从基因遗传方面和外部条件方面的原因导致的。
基因遗传原因
就像在的研究来看,大部分从业人员和学者都表示超雌综合征,主要是染色体上的基因发生了突变导致的疾病,而这其中基因遗传占据了很大一部分的比例。
外部原因
除了基因遗传之外,外部的因素也会受到影响,因为如果孕妇在怀孕的6~9周时,服用了错误的药物或者病毒感染,也会让胎儿患上歌舞伎面谱综合征。
小提示:而且目前来说,这两种疾病都没有根治和治疗的方法,所以如果是要选择在一起的夫妻,一定要对未来有个很好的心理准备。